Может ли сердце опухнуть

Опухоли сердца – разнородные по гистологическому строению новообразования, первично возникающие из тканей сердца или прорастающие в них из других органов. Опухоли сердца, в зависимости от их типа, локализации и размера, могут вызывать одышку, кашель, тахикардию, аритмии, боли за грудиной, сердечную недостаточность, тампонаду сердца, тромбоэмболии. Диагностика опухолей сердца проводится с учетом данных ЭхоКГ, рентгенографии, вентрикулографии, МРТ и МСКТ сердца, ЭКГ, биопсии. При выявлении первичных доброкачественных опухолей сердца производится их радикальное иссечение; лечение первичных злокачественных и метастатических новообразований обычно паллиативное (лучевая терапия, химиотерапия).
Общие сведения
Опухоли сердца – гетерогенная группа новообразований, произрастающая из тканей и оболочек сердца. Опухоли могут развиваться из любых тканей сердца и возникать в любом возрасте. Новообразования могут прорастать сердечную мышцу, перикард, поражать клапаны и перегородки сердца. У плода они могут быть обнаружены с помощью фетальной эхокардиографии, начиная с 16-20 нед. внутриутробного развития. Первичные опухоли сердца встречаются в кардиологии с частотой 0,001-0,2%; вторичные (метастатические) – в 25-30 раз чаще. Все опухоли сердца несут потенциальную опасность возникновения смертельно опасных осложнений – сердечной недостаточности, аритмий, перикардита, тампонады сердца, системных эмболий.

Опухоли сердца
Классификация опухолей сердца
Опухоли сердца, представляющие самостоятельные заболевания, являются первичными; опухоли, метастазирующие по кровеносным и лимфатическим сосудам либо прорастающие из соседних органов, – вторичными. Причины развития первичных опухолей сердца неизвестны. Вторичные опухоли сердца чаще представлены метастазами рака молочной железы, желудка, легких, реже – рака щитовидной железы и почек.
По морфологическому принципу опухоли сердца подразделяются на доброкачественные (составляют 75%) и злокачественные (составляют 25%). По происхождению злокачественные новообразования могут быть как первичными, так и метастатическими, вторичными. Среди доброкачественных опухолей встречаются миксомы сердца (50-80%), тератомы, рабдомиомы, фибромы, гемангиомы, липомы, сосочковые фиброэластомы, кисты перикарда, параганглиомы и др. В число злокачественных новообразований входят саркомы, мезотелиомы перикарда и лимфомы.
К псевдоопухолям относятся инородные тела сердца, организованные тромбы, образования воспалительного характера (абсцессы, гуммы, гранулемы), эхинококковые и другие паразитарные кисты, конгломераты кальциноза. Отдельную группу составляют экстракардиальные опухоли средостения и перикарда, сдавливающие сердце.
Первичные доброкачественные опухоли сердца
Миксомы
Половина случаев среди всех первичных опухолей сердца приходится на миксому. Спорадические миксомы сердца в 2-4 раза чаще обнаруживаются у женщин. Встречается наследственный комплекс Карни с аутосомно-доминантным типом наследования, характеризующийся мультицентрическими опухолями различной локализации, – миксомами сердца, пигментными опухолями кожи, фиброаденомами молочных желез, кистами яичников, узловой дисплазией надпочечников, миксоидными опухолями яичек, аденомами гипофиза, шванномами периферических нервов.
Преимущественной локализацией миксом является левое предсердие (около 75%). Миксомы, имеющие ножку, пролабируют через митральный клапан, затрудняя опорожнение левого предсердия и заполнение желудочка во время диастолы. Макроскопически миксомы могут иметь слизевидную, твердую, дольчатую или рыхлую структуру. Неоформленные рыхлые миксомы представляют наибольшую опасность в плане развития системной эмболии.
Сосочковые фиброэластомы
Среди первичных опухолей сердца вторыми по частоте являются доброкачественные сосочковые фиброэластомы, преимущественно поражающие аортальный и митральный клапаны. Морфологически они представляют бессосудистые папилломы с ветвями, напоминающими актинии, отходящими от центрального ядра. Чаще всего они имеют ножку, однако в отличие от миксом, не вызывают дисфункции клапанов, но увеличивают вероятность эмболии.
Рабдомиомы
Рабдомиомы среди всех доброкачественных опухолей сердца составляют 20% и являются самым частым новообразованием у детей. Обычно рабдомиомы множественны, имеют интрамуральную локализацию в перегородке или стенке левого желудочка, поражают проводящую систему сердца. Течение рабдомиомы могут сопровождаться тахикардией, аритмиями, сердечной недостаточностью. Данные опухоли сердца часто ассоциированы с туберозным склерозом, аденомами сальных желез, доброкачественными новообразованиями почек.
Фибромы
Соединительнотканные опухоли сердца также, главным образом, встречаются у детей. Могут поражать клапаны и проводящую систему сердца, вызывать механическую обструкцию, имитируя клапанный стеноз, клиническую картину сердечной недостаточности, гипертрофической кардиомиопатии, констриктивного перикардита. Фибромы сердца могут являться частью синдрома базально-клеточного невуса (синдрома Горлина).
Прочие доброкачественные опухоли сердца
Гемангиомы встречаются в 5-10 % случаев всех первичных опухолей сердца. Чаще они не вызывают клинической симптоматики и выявляются при плановом обследовании. Реже внутримиокардиальные гемангиомы сопровождаются нарушениями атриовентрикулярной проводимости, а при прорастании предсердно-желудочкового узла могут приводить к внезапной смерти.
Липомы сердца могут развиваться в любом возрасте. Обычно это опухоли на широком основании, локализующиеся в эпикарде или эндокарде. Течение липом чаще бессимптомное; при достижении больших размеров они могут вызывать аритмии, нарушения проводимости, изменение формы сердца, выявляемое рентгенологически.
Феохромоцитомы могут иметь интраперикардиальную или миокардиальную локализацию, сопровождаться секрецией катехоламинов. Кисты перикарда на рентгенограммах грудной клетки часто имитируют опухоли сердца или экссудативный перикардит. Чаще они протекают бессимптомно, иногда могут вызывать симптомы компрессии органов грудной клетки.
Злокачественные опухоли сердца
Саркомы – самые частые первичные злокачественные опухоли сердца. Они встречаются, главным образом, в молодом возрасте (средний возраст 40 лет). Саркомы сердца могут быть представлены ангиосаркомами (40%), недифференцированными саркомами (25%), злокачественными фиброзными гистиоцитомами (11-24%), лейомиосаркомами (8-9%), рабдомиосаркомами, фибросаркомами, липосаркомами, остеосаркомами. Злокачественные опухоли сердца чаще возникают в левом предсердии, приводя к обструкции митрального отверстия, тампонаде сердца, сердечной недостаточности, метастазированию в легкие.
Мезотелиомы перикарда относительно редки и встречаются преимущественно у мужчин. Они обычно метастазируют в плевру, позвоночник, мозг, окружающие мягкие ткани.
Первичные лимфомы чаще поражают лиц, страдающих иммунодефицитом (в т. ч. ВИЧ-инфекцией). Эти опухоли сердца склонны к чрезвычайно быстрому росту и сопровождаются сердечной недостаточностью, аритмиями, тампонадой и синдромом верхней полой вены.
Метастатические опухоли сердца чаще всего поражают перикард, реже – сердечную мышцу, эндокард и сердечные клапаны. Как и первичные опухоли сердца, они могут вызывать одышку, острый перикардит, тампонаду сердца, нарушения ритма, атриовентрикулярную блокаду, застойную сердечную недостаточность. В сердце могут метастазировать рак легких, груди, почечный рак, саркома мягких тканей, лейкоз, меланома, лимфома, саркома Капоши.
Симптомы опухолей сердца
Проявления опухолей сердца обусловлены типом новообразования, его локализацией, величиной, способностью к распаду. Внесердечные опухоли проявляются лихорадкой, ознобом, снижением массы тела, артралгией, кожными высыпаниями. При сдавлении опухолью камер сердца или венечных артерий, возникают одышка, боли в груди. Рост опухоли или кровотечение может приводить к развитию тампонады сердца.
Опухоли сердца с интрамиокардиальным ростом (рабдомиомы, фибромы), сдавливающие или внедряющиеся в проводящую систему, сопровождаются атриовентрикулярной или интравентрикулярной блокадой, пароксизмальными тахикардиями (наджелудочковыми или желудочковыми).
Внутриполостные опухоли сердца, главным образом, нарушают функцию клапанов и препятствуют току крови из камер сердца. Они могут вызывать явления митрального и трикуспидального стеноза или недостаточности, сердечной недостаточности. Симптоматика внутриполостных опухолей сердца обычно возникает при смене положения тела в связи с изменением гемодинамики и физических сил, действующих на опухоль.
Часто первыми проявлениями опухолей сердца служат тромбоэмболии в сосуды системного или легочного круга кровообращения. Опухоли из правых отделов сердца могут вызывать эмболию легочной артерии, легочную гипертензию и легочное сердце; опухоли левых отделов сердца – преходящую мозговую ишемию и инсульт, инфаркт миокарда, ишемию конечностей и др. Возникновение инфарктов внутренних органов у лиц молодого возраста при отсутствии врожденных и приобретенных пороков сердца, мерцательной аритмии и инфекционного эндокардита заставляет думать о наличии опухоли сердца.
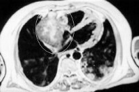
Диагностика опухолей сердца
Ввиду вариабельности клинической картины и множественности морфологических форм опухолей сердца, их диагностика является непростой задачей.
Данные ЭКГ при опухолях сердца полиморфны и малоспецифичны: они могут отражать признаки гипертрофии камер сердца, нарушения проводимости и ритма, ишемию миокарда и т. д. Рентгенография органов грудной клетки чаще всего выявляет увеличение размеров сердца и признаки легочной гипертензии. Более чувствительным методом диагностики опухолей является УЗИ сердца: с помощью чреспищеводной ЭхоКГ лучше визуализируются опухоли предсердий, путем трансторакальной ЭхоКГ – опухоли желудочков.
При сомнительных результатах диагностики выполняется МРТ и МСКТ сердца, радиоизотопное сканирование, зондирование полостей сердца и вентрикулография. Для верификации гистологической структуры опухоли сердца проводится ее биопсия в процессе катетеризации или диагностической торакотомии. При экссудативном перикардите ценную диагностическую информацию может дать цитологическое исследование жидкости, полученной при пункции перикарда. Дифференциальная диагностика опухолей сердца проводится с ВПС, миокардитом, кардиомиопатиями, перикардитом, амилоидозом сердца.
Лечение опухолей сердца
Опухоли сердца лечатся хирургическим путем. Операции при опухолях сердца могут включать удаление внутриполостной опухоли, удаление опухоли миокарда или перикарда, перикардэктомию, удаление кисты перикарда. В ходе радикальной операции производится иссечение опухоли сердца с прилежащими окружающими тканями, ушивание или пластика дефекта. Доброкачественные опухоли сердца в большинстве случаев могут быть удалены радикально. В некоторых случаях пациенты могут нуждаться в пластике или протезировании клапанов.
Удаление первичных злокачественных опухолей сердца малоэффективно. В этом случае чаще всего прибегают к частичному (паллиативному) удалению опухоли с последующим проведением лучевой или химиотерапии. При вторичных опухолях сердца лечение также паллиативное.
Прогноз опухолей сердца
Удаление единичных доброкачественных опухолей сердца обычно сопровождается хорошими отделенными результатами – 3-хлетняя выживаемость составляет 95%. В дальнейшем пациентам показано наблюдение кардиолога и кардиохирурга с ежегодным проведением эхокардиографии для своевременного выявления рецидива опухоли сердца. Множественные опухоли сердца снижают выживаемость в течение ближайших 5 лет до 15 %. При первичных и метастатических опухолях сердца прогноз весьма неблагоприятный; хирургическое лечение малоэффективно, химиотерапия и лучевая терапия на прогноз практически не влияют.
Источник
Кардиопатологии нередко сопровождаются отеками, когда происходит застой крови и жидкость скапливается в межклеточном пространстве. Места для ее скопления там не предусмотрено – и это основная причина, почему отеки поражают нижние конечности.
Припухлости, которыми сопровождаются заболевания сердечно-сосудистой системы, встречаются часто, но не рассматриваются как отдельная болезнь, хотя и относятся к группе синдромов, способных спровоцировать осложнения и смерть. Как понять, что отек – признак кардиологической болезни и своевременно обратиться к врачу, расскажет MedMe.
Сердечный отек: симптоматика
Данный синдром проявляется только у пациентов с хроническими патологиями: при остром течении формироваться не успевает. От прочих отеков сердечные отличаются хаотичной периодичностью возникновения и самостоятельным исчезновением при восстановлении сердечной функции. Их появление – признак неблагоприятного течения болезни, требующее вмешательства докторов.
Как распознать сердечный отек и дифференцировать его среди других синдромов с типичным проявлением:
- Отеки поражают нижние конечности симметрично и распространяются вверх от лодыжек до колен. Незначительная разница в объемах объясняется варикозным расширением на одной из конечностей. У лежачих больных отеки также поражают верхнюю часть ног (бедра), захватывают поясницу.
- Припухлости появляются к концу дня – одно из условий сердечной отечности. Объясняется это скоплением большего объема крови в ногах, так как сердечная недостаточность не позволяет циркулировать ей постоянно. На коже остаются вдавления от тугой одежды, обуви. В течение ночи, когда человек принимает горизонтальное положение, отек проходит.
- Отеки возникают в результате скопления венозной крови, что провоцирует гипоксию тканей (кислородное голодание). Ввиду этого кожа становится прохладной, что отчетливо ощущается при пальпации. Заметим, что при отеках другой этиологии кожа горячая, что свидетельствует о воспалительных процессах. Также выдает синдром цвет эпителия: он становится синюшным, а при отсутствии медицинской помощи – фиолетовым или багровым.
- Привлекает внимание плотность припухлостей. Они довольно плотные, туго обтянутые кожей. По словам пациентов, это не вызывает болезненности, но сопровождается ощущением внутреннего давления. Вдавление, возникшее после нажатия, некоторое время сохраняет форму. И это одно из основных отличий синдрома.
Особенность кардиоотеков – в механизме их появления и исчезновения. При почечной недостаточности конечности отекают стремительно, например, за ночь. А при сердечных патологиях – постепенно. Исчезают они тоже самостоятельно, абсолютно не поддаются локальному лечению в виде ванночек, компрессов, массажей. Уменьшение отечности свидетельствует о восстановлении насосной функции.
На этиологию отеков указывают следующие признаки:
- болезненные ощущения в грудной клетке и правом подреберье, не связанные с физической активностью;
- нарушение сердечного ритма;
- одышка при незначительной физической нагрузке;
- слабость и головокружение;
- пальцы Гиппократа (увеличение ногтевой пластины).
От их совокупности зависит, как проводится лечение отеков: методика, необходимость госпитализации.
Заболевания сердечно-сосудистой системы как причины отеков
Устойчивое нарушение кровотока приводит к застою биологических жидкостей и проявлению патологического процесса – отеку. На фоне этого страдают органы мочевыводящей, кроветворной систем, меняется состав крови. В дальнейшем это приводит к ряду дисфункций.
Врачи выделяют разные причины отеков:
- Основная причина образования отеков – нарушение циркуляции, когда сердце неспособно перекачать весь объем поступившей крови. Так она скапливается в сосудах, а затем по всем венам. Под силой тяжести кровь «оседает» в ногах. Под увеличенным давлением вены расширяются, стенки их растягиваются, через них жидкость просачивается и собирается в пространстве между клетками.
- При снижении сердечного выброса объемы артериальной крови уменьшаются. Ее нехватка провоцирует гипоксию тканей. Организм включает защитные функции, скапливая жидкость. Также нехватка кислорода способствует повышению проницаемости сосудов.
- Когда артериальное давление снижается, происходит сужение кровеносных сосудов, а это в свою очередь негативно отражается на работе почек. Отток жидкости замедляется, а первичная моча всасывается обратно.
- Хроническая запущенная форма сердечной недостаточности сопровождается поражением печени. Этот происходит из-за понижения онкотического давления, и данное состояние пополняет список причин отеков.
Так, причины отеков соединены в цепочку: кардиопатология – сердечная недостаточность – застой крови – отек.
Почему отеки опасны: осложнение синдрома
Как правило, сами отеки не рассматриваются как опасность для жизни человека, но их осложнения нередко приводят к гибели.
- Анасарка – отек подкожной клетчатки, характеризующийся скоплением жидкости в ногах, бедрах, наружных половых органах, руках, шее и лице.
- Трофические язвы – образование ран на фоне гипоксии тканей, застоев венозной крови, пережатии артерий, нарушении иннервации. Трофические язвы тяжело поддаются лечению ввиду кислородного голодания, склонны к инфицированию патогенными бактериями.
- Лимфедема – скопление лимфы. При хронической лимфедеме есть риски закупоривания лимфотоков соединительной тканью, и восстановить их проходимость невозможно ни медикаментозным, ни операционным лечением.
- Асцит – скопление жидкости в брюшной полости. При большом скоплении состояние усугубляется сдавливанием и смещением внутренних органов, их дисфункцией.
- Гидроторакс – скопление жидкости в плевральной полости. На фоне этого появляются проблемы с дыханием: под давлением легкие не могут расправиться, от чего в организм поступает недостаточно кислорода.
- Наиболее серьезное осложнение – отек легких. Жидкость попадает в дыхательные альвеолы и блокирует газообмен. При отсутствии медицинской помощи наступает смерть.
Основные принципы лечения отеков
Лечение отеков – комплексное, направленное на устранение самого синдрома и его причины. Предшествует лечению отеков диагностика, включающая лабораторное исследование крови и мочи, инструментальные исследования. Лечение умеренных отеков допустимо в домашних условиях с точным соблюдением предписаний врача. Хронические случаи требуют госпитализации.
Основные методы:
- медикаментозная терапия;
- диета;
- альтернативная медицина;
- хирургические вмешательства.
Во время курса лечения также привлекаются другие специалисты: нефрологи, эндокринологи, иммунологи.
Источник